Iranian suspects hiding drugs in stomachs detained at İzmir airport
İZMİR

AA Photo
Police at Aegean province of İzmir's international airport detained five Iranian nationals trying to smuggle heroin in capsules hidden in their stomachs, state-run Anadolu Agency reported on Feb. 19.
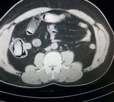
Police released X-ray images of the unidentified suspects, who arrived in Turkey from Iran last week, showing a total of 298 capsules they had swallowed filled with nearly 3.4 kilograms (almost 7.5 pounds) of heroin.
The suspects were tracked as part of an ongoing operation, to curb drug trafficking from Iran, the news agency cited anonymous sources as saying.
İzmir’s anti-narcotics police were monitoring the movement of people from Iran for over three months, according to the sources.
The five men were stopped in Adnan Menderes Airport for a check on arrival in Izmir last week.
Nothing was found until they were made to undergo an X-ray scan that revealed hundreds of capsules in their stomachs.
Authorities are now working to track and destroy their distribution networks in Turkey.